





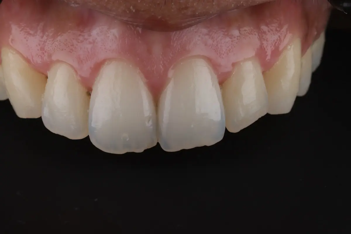
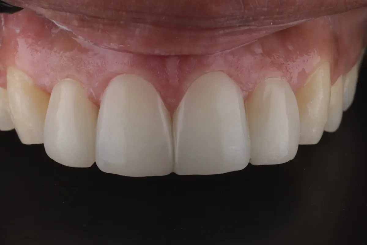
Composite can transform chipped, uneven, or discoloured teeth in a single visit — with no drilling or injections required in most cases.
A thin layer of aesthetic composite resin is artistically sculpted directly onto your teeth, preserving natural enamel while improving shape, symmetry, and brightness.
Each smile is hand-crafted to achieve lifelike results that blend seamlessly with your existing teeth — offering an accessible way to restore confidence and beauty.
We aim to deliver world-class implant and cosmetic dental care through skill, precision, and artistry.